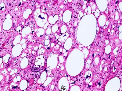
Atypical lipomatous tumor (well differentiated liposarcoma) with picture perfect lipoblasts.
Anatomic Pathology[]
Autopsy Pathology[]
- Virtual Autopsy study cases
- Autopsy Case Reports
- Electronic Journal Autopsy :: Revista Electrónica de la Autopsia
Breast Pathology[]
- Digital Atlas of Breast Pathology
- Breast Pathology on the Web
- Breast pathology section on WebPathology.com
- http://breastconsults.com/new-blog/
Bone and Soft Tissue Pathology[]
- Jerad M Gardner, MD - Soft Tissue Pathology and Dermatopathology Digital Slide Collection A collection of digitally scanned soft tissue (and other surg path) slides available for free viewing on pathxchange.org.
- Bone and Soft Tissue Pathology discussion group on Facebook (Facebook account required)
- UMDNJ Bone Tumor Tutorial - (bone tumor primer/unknowns…navigate the site to find more good stuff)
- Bone Tumor Radiographic Differential Diagnosis - fantastic website with great radiographic images of bone tumors. An absolute must for anyone who is interested in bone path.
- BoneTumor.org
- www.soft-tissue.com
- Bone and Soft Tissue Pathology- from Elsevier Health. This book makes it quick and easy to identify the key features of all bone and soft tissue malfunctions and diseases. A few key features of this book are the vivid detailed photographs, easy to read bulleted text, as well as complete online access to the book.
- http://www.sarcomaimages.com/
- The Soft Tissue Tumor Files - great site, and funny too
- Soft Tissue section on WebPathology.com
- Bone school
Cytopathology[]
[]
[]
[]
- John Hopkins Cytopathology Unknown Conference
- Cancer Cytopathology Peer-reviewed journal of the American Cancer Society. It is the elite journal in its field, offering the highest impact factor among cytopathology journals as well as rapid peer review and online publication times. Cancer Cytopathology is the journal of choice for top authors in the field, which helps it consistently deliver the highest-quality research and most comprehensive reviews across all disciplines in cytopathology.
- American Society of Cytopathology
- CytoJournal (www.cytojournal.com)- FREE Open Access, scientific, peer-reviewed, PubMed indexed Cytopathology jourrnal. Publishes without loosing copyright. Achieve worldwide fast dissemination. FREE access all over the world to real time scientific cytopathology literature.
- BETHESDA SYSTEM WEBSITE ATLAS (All 349 pap images from the Bethesda blue book. Includes a very nice self test.)
- Cytopathology Challenge Cases
- CytologyStuff -Awesome cytology images, quizzes, and teaching site.
- Papanicolaou Society of Cytopathology Web Thyroid Image Atlas
- John Hopkins Cytopathology Atlas
Dermatopathology[]
- McKee Derm on Facebook
- Dermatopathology discussion group on Facebook (Facebook account required)
- Online Atlas of Foreign Materials - pics of various foreign substances in tissue sections. very useful.
- SlideTutor - University of Pittsburgh Computerized Tutoring System that currently contains 300 Dermpath Cases (Interactive dermpath slides, teaches you how to work through a case. Great site!)
- Enjoypath.com - excellent surgpath images and unknown cases
- Dermpedia - derm and dermpath wiki
- Dr. Mark Wick's Derm and Soft Tissue website - Dr. Wick posts most of the great powerpoints from his lectures here.
- MDLive Dermpath Audio Lectures - audio lectures with powerpoints by Phil Leboit, MD (UCSF dermpath) and others.
- Dermpath India - tons of great dermpath cases
- Derm101.com - incredible dermpath website founded by the late Dr. Bernie Ackerman. Has full copies of many of Ackerman's books and video lectures by Ackerman regarding dysplastic nevi (you can hear some of his controversial views firsthand!). THOUSANDS of clinical and microscopic derm images. Regardless of whether or not you are an Ackerman follower, this is an amazing site. Free 30 day membership but unfortunately it is $10/month after that. However, Galderma sponsors this site so you may be able to find a dermatologist friend who can get you a free access code from a Galderma rep.
- Melanocyte Pathology - nice cases posted by Dr. Mooi
- McKee Dermpath - Dr. McKee's website.
- UIowa - Skin Images
- Dermpath Atlas
- dermpathmd.com
- skinpathology.org
Clinical Dermatology[]
- Dermnet Dermatology Images
- DermIS Dermatology Images
- Dermatlas.net
- Dermnetnz.org
- Dermatology Mnemonics
Forensics[]
- Pathology Expert - lectures on forensics, as well as AP and CP Board review material.
- Forensic Pathology - extensive resource about forensic pathology
Gastrointestinal (GI) Pathology[]
- Serrated Polyp Quiz
- http://www.gi-pathology.net/
- www.hmelin.net Great basics on pediatric liver pathology
- Johns Hopkins Atlas of Pancreatic Pathology Ipad App
- Johns Hopkins GI Path Twitter- Cases & Images tweeted regularly
- http://www.gastrointestinalatlas.com/index.html
General Pathology[]
- Pathpedia.com
- www.pathologystudent.com
- Pathology Resident On Call Manual
- Dr. Tom Wheeler's Pathology Blog on Medscape
- Pathology Network (Pn) blogs by Dr. Stacey Mills
- Global Pathology Portal
Genitourinary Pathology[]
- Gupedia.org - An online collaborative GU atlas and reference.
- Genitourinary pathology on WebPathology.com
Gynecologic Pathology[]
- Digital Atlas of Gynecological Pathology - Department of Pathology, Stony Brook University Medical Center
- Endometrium.org - has audio lectures with powerpoints and other educational material mostly related to pre-malignant endometrial disease (mostly using EIN system)
- Atlas of Borderline Ovarian Tumors - University of Illinois at Chicago.
- International Society of Gynecological Pathologists - Includes the International Journal of Gynecological Pathology.
Head and Neck (ENT) Pathology[]
Hematopathology[]
- xO Pathology: Hematopathology (amazing flash card app for medical students and first-second year residents starting heme)
- www.hematindia.blogspot.com (Free online textbook of pathology)
- Hematology Atlas (great hemepath images)
- Enjoypath.com - excellent hemepath images and unknown cases
- American Society of Hematology Image Bank
- Purdue Flow Cytometry - Comprehensive flow cytometry site with tutorials, etc
- University of Virginia Hematopathology Images - well organized collection with representative images from many hemepath entities
- Virginia Commonwealth University - nice collection of powerpoint lectures with images
- Clinical Flow Wiki
- HematologyOutlines - good hematology atlas and glossary of terms, well organized
Immunohistochemistry[]
- Immunoquery
- IMMUNOPEDIA from pathpedia.com
- Pathology Immunostain Wiki
- IHC Frequently Asked Questions
- Pathology Outlines Immunostains
- Immunoportal
- e-immunohistochemistry
- NordiQC Immunohistochemistry
- The Human Protein Atlas
Neuropathology[]
- Neuropathology Web - Great review of all things neuropath with quick quizzes after each chapter
- http://brainmaps.org/ - whole scans of HE and gross brain sections.
- NeuroWiki - wiki of neurosurgery including brain tumor info. Nice site.
- Frontal Cortex Neurology - Good site for all things neuro.
- CNS Atlas - An excellent source for both neoplastic and non neoplastic lesions. Great pics and differentials.
- Neuropathology Blog
- SBUMC Primer of Basic Neuropathology: 10 Chapters
Pulmonary Pathology[]
Renal Pathology[]
Surgical Pathology[]
- Pathology Outlines (excellent for quick differential diagnosis during sign out. Also sign up for case of the week emails.)
- Webpathology (great GU path pics)
- WebPath - University of Utah site with numerous pathology gross and micro images. A classic.
- Atlas of Pathology - lots of pics with explanations and basics
- HSPAtlas.com - Histopathology Atlas - the collection of high-quality microphotographs of human diseases.
- Pathobin.com - Free pathology image hosting, case logbook and more!
- Pathpedia.com
- SurgPath4U.com - thousands of images in system based case format.
- Juan Rosai Collection - Thousands of presentations and digital slides from Juan Rosai's collection.
- Enjoypath.com - excellent surgpath images and unknown cases
- Johns Hopkins SurgPath Unknown Cases (great weekly unknown cases)
- UPMC Pittsburgh surgical path unknowns
- Youtube Histology / Pathology Videos
- Genetics Atlas (good genetic info on tumors)
- Humpath.com (good surg path images)
- Ed Uthman's Gross and Micro Photos - excellent gross and micro photos
- Stanford Surgpath Criteria
- eMedicine Pathology Articles - An in-progress online pathology text compendium.
- Pathology Pics - Pathology images with flashcards
- Atlas of Granulomatous Disease -Excellent pics of various granulomas
- University of Iowa Virtual Slidebox
- USCAP.org ( by far the best site for AP educational material)
- http://www.cttr.org/ (Super anatomical pathology case of the month)
- http://www.iarc.fr/en/publications/pdfs-online/pat-gen/ - World Health Organization Classification of Tumours. Various books in PDF format.
- http://cancerstaging.blogspot.com/ - TNM classification help.
- Cancer Checklists - Web-based checklists for reporting cancer staging.
- https://librepathology.org/
Transplant Pathology[]
Clinical Pathology[]
- Pathology Resident On Call Manual
- Colorado Association for Continuing Medical Laboratory Education (CACMLE)- independent study courses that cover a wide variety of clinical pathology topics.
Microbiology[]
- Microbiology Atlas - veterinary website but has great images of common micro tests, like OF glucose reactions, TSI slants, etc
- Dematiaceous fungus monograph - wonderful pics and info. Large free document all about pigmented fungi.
- Doctor Fungus - Awesome mycology site!
- Tom Volk's Fungi - Interesting page of mycology (both human fungi as well as mushrooms). Cool site.
- University of Adelaide Mycology Online
- Microbugz - Very nice micro 101 tutorial from Austin Community College.
- The Big Picture Book of Viruses-huge virology EM image collection, complete list of links to other virology sites, virology lectures, etc.
- Microbelibrary.org - very nice atlas of microbiology images, colony morphology, micro tests, etc.
- Parasitology Atlas - nice parasite images
- Microbiology -Culture Media and Test Reagents - a vendor site for selling media, but has a very nice list of media and test reagents along with pictures and uses for the media/test. Very useful reference for a path resident.
- Web Atlas of Parasitology
- WormLearn - Image library of parasites and worms.
- Bacterial Identification Online Flowchart/Database - Enter in features of your organism and the database will help ID the bacterial genus and species.
- CDC Parasite Identification and Image Library
- http://www.k-state.edu/parasitology/546tutorials/titlepage.html?redirect=Index (Good tutorial for parasites)
Transfusion Medicine/Blood Bank[]
- Blood Bank Guy (Great website by Joe Chaffin, MD of Osler Course fame. Excellent blood bank info, online quizes, and useful links.)
- Transfusion News TM questions.
- The Individualist (Blood Group Antigen Info, etc) - Good in depth info on blood group antigens and other biochemical idiosyncracies.
- SCARF (Serum, Cells, and Rare Fluid Exchange) - Rare blood cell exchange. Lots of info about blood antigen groups.
- [1] (cases for study coagulation)
Molecular Pathology[]
- Atlas of Heme/Oncology Genetics
- PCR and Real Time PCR Video - short but sweet
HLA/Immunology[]
- HLA Informatics Group
- Microbiology and Immunology Online - Outstanding online textbook with numerous resources.
Chemistry / Other CP Topics[]
- ARUP Clinical Lab Test Menu - lots of info on numerous clinical lab tests, clinical algorithms for diagnosis, and testing strategies and interpretation. Great resource!
- LabtestsOnline
- Urine Crystals - excellent pics!
- iHOP (comprehensive info about individual proteins, including many of the targets of immunostains)
- Westgard Rules - Westgard explains his own rules in an easy to understand way
- Blood Collection Tube Chart - nice list of different blood collection tubes (e.g. - red top, green top, gray top, etc) and their additives and uses. Helpful for those who have trouble remembering these (doesn't everyone?)
- BD Blood Collection Tube Wall Chart PDF
- Webpath Urinalysis Tutorial
- [2] (free registration required. Check
hot topics and management strategies videos. Extremely good)
- [3] ( electronic access included with American Society of Clinical Pathology membership (free for residents)-awesome articles for CP rounds presentations and board preparation)
- [4] (MCQs for CP)
- University of Oklahoma Quiz Questions:Quiz
Management/Legal/Etc[]
Pathology Informatics[]
- Virtual Rotation in Pathology Informatics
- Pathology Informatics Wiki
- Digital Pathology Wiki - all things related to digital pathology
- NYU Pathology Wiki - mainly a wiki style glossary of pathology terms
- Digital Pathology Wiki
Professional Organizations[]
- Academy of Clinical Laboratory Physicians and Scientists - ACLPS
- American Academy of Forensic Sciences - AAFS
- American Association of Neuropathologists - AANP
- American Board of Pathology
- American Medical Association
- American Society for Clinical Pathology - ASCP
- American Society for Investigative Pathology - ASIP
- Association for Molecular Pathology
- College of American Pathologists - CAP
- Intersociety Council for Pathology Information - ICPI
- Intersociety Pathology Council - IPC
- International Society for Biological and Environmental Repositories (ISBER)
- United States and Canadian Academy of Pathology - USCAP
Pathology Blogs[]
- Digital Pathology Blog by Keith Kaplan, MD
- The Pathology Blawg
- The Pⁿ Blog by Stacey Mills, MD
- Time, Money, and Lives Blog by Voicebrook
Others[]
- Lecturio
- Pathpedia
- Pathpedia Pathology Journal Table of Contents Collection of all of the tables of contents from the major pathology journals. Very useful.
- Dark Daily (daily very short update on events in the laboratory business world. a good way to get acquainted with the business side of pathology.)
- Pathtalk.org - a blog about pathology
- PathGuy- interesting site full of various pathology related and non-related info
- PATHO-L The oldest pathology related list serve on the web. Sign up and interact with pathologists from around the world.
- Pathology Expert - List of Eponyms and their pathologic findings
- Most Popular Pathology Links (most popular search results for pathology on Xmarks)
- Pathmax (Huge list of great pathology links!)
- Study with Substance P - on youtube or at http://music.studywithsubstancep.com. Step 1 and 2 USMLE study music videos. Ridiculously funny!
- www.medeponyms.com - an online database of pathology eponyms
- pathologyblawg.com - a blog about medicolegal and legislative issues pertaining to the practice of pathology and medicine.
- cytologycongress.org - events and meetings.
- PathDojo- Anatomic and clinical pathology question bank
- Pathology of Infectious Disease - excellent site with numerous high quality infectious organism pathology images (by Dr. Tsutsumi)